JOURNAL
結局埋まっていても親知らずって抜いた方がいいの?
皆様お久しぶりです、院長の髙安です。
今までの歯科医師人生でこれでもかと聞かれた質問が、この埋まっている親知らずをどうするか問題。
大概の歯科医院では埋まっているので大丈夫です。症状が出た時に抜きましょう。と言われる人が大量発生していると思います。
生えている親知らずは抜いたけど埋まっている親知らずは結局ドクター側が決めつけている事がほとんどです。
結論:若いうちに抜いておいて損はないと思います。
と言うのも、高齢になると親知らずの手前の歯が悪くなり、歯周病が併発すると埋まっている親知らずが原因で第二大臼歯が急速に悪くなるからです。
文章だと正直わかりづらいので実例を元に見てみてください。
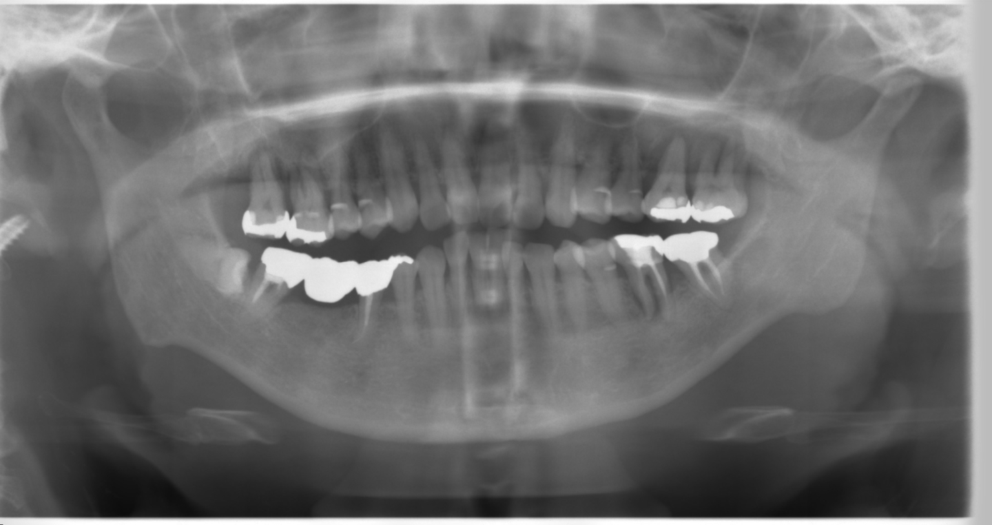
まずはこちら、写真では向かって左下に親知らず(水平埋伏智歯)があるのがわかります。
実際の口腔内では右下の8番目の歯になります。
ここの病院では親知らず以外の歯の治療が優先されていました。
主に親知らず以外の抜歯がメインです。
左上67番の大臼歯2本が抜歯となりました。
加えて右上67番の大臼歯と左下6番の第一大臼歯が抜歯となりました。
その後、入れ歯やブリッジを検討されたそうですが口腔内に馴染まず放置してしまったそうです。
結果として左下7番の第二大臼歯は近心に傾斜し、すでに補綴処置が困難な状態になってしまいました。
と同時に右下8番の親知らずから右下7番の第二大臼歯にかけて骨が急速に溶けているのがわかりますでしょうか?
元々ブリッジ治療の支えになっていた右下7番と埋まっていた親知らずの間に歯周ポケットがあり、これが4mmから5mmに、5mmから6mmに年々深くなり、最終的に親知らずと手前の歯の間の溝が深くなった結果、右下の歯が全体的に悪くなってしまった症例です。
もちろん、右下の親知らずだけが原因とは言い切れませんがこの親知らずが無かったら右下のブリッジの支台歯と右下のブリッジはもっと寿命が長かったかもしれません。
親知らずも抜きたくない気持ちはわかるし、ドクター目線でもできる事なら目を瞑りたい気持ちもわかるのですが、色々な世代の方の治療を行なっていると、やはり親知らずは無くて困ることはないけれど、あって困ることは割と多いのが歳をとるとわかります。
僕自身の親知らずも埋まっていたものを4本全て抜いたので痛みや腫れる気持ちもわかります。
ですが一時の痛みで生涯親知らずに悩まされる事がないことを考えると、親知らずの抜歯はBCG接種並みにやっておいた方がいい予防治療なのかなと思います。
骨粗鬆症やら糖尿病やらを発症してからは外科処置自体が難しくなるので、おすすめは20代から40代のうちに抜いておく事がいいかと思います。
他院で「大学病院じゃないと厳しいよ」、「まだ抜かなくても良いから」などと言われた方々でお困りの方がいらっしゃいましたらお気軽にご相談ください。











