JOURNAL
ダイレクトボンディング症例
皆様、こんにちは。歯科助手の雛田です。
今回は当院で前歯をダイレクトボンディングで修復した症例をご紹介します。
鏡を見たとき、ふと気づく前歯の違和感。
「いつの間にか少し欠けている」「小さな穴が空いている気がする」そんな些細な変化でも、前歯の場合はとても目につきやすいものです。
【 症例概要 】
-
治療内容:前歯ダイレクトボンディング
-
主訴:前歯が欠けて見た目が気になる
-
治療回数:1回
-
治療期間:1日
-
治療部位:
-
治療方法:ダイレクトボンディング修復
- 費用:33,000円
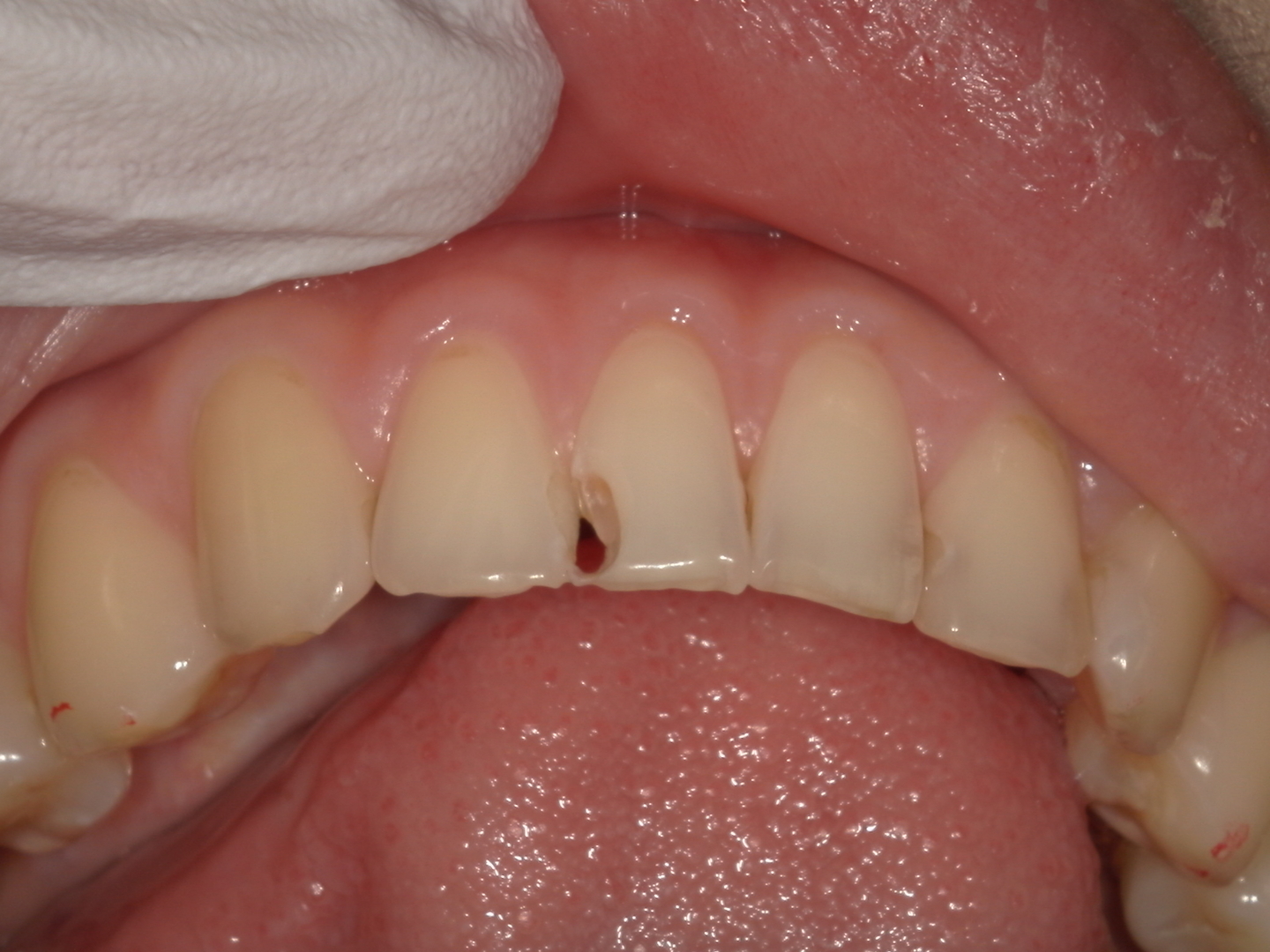
◆ 治療前の状態(BEFORE)
こちらが治療前の写真になります。
前歯の先端近くに欠損があり、歯と歯の間に不自然な空間が生じていました。大きな痛みはなかったものの、見た目の違和感が気になり、人前で笑うことを少し躊躇してしまう状態だったそうです。
前歯は、会話や笑顔の際に最も視線が集まる場所です。
ほんのわずかな欠けであっても、歯の長さ・輪郭・光の反射が崩れることで、全体の印象に影響を与えてしまいます。
◆ 治療後の状態(AFTER)
こちらがダイレクトボンディングで修復した写真になります。
修復後には、どこを修復したのか分からないほど自然な仕上がりとなりました。歯の輪郭が整い、左右のバランスも改善。
BEFOREとAFTERを比べると、歯の長さやラインが揃い、前歯全体がすっきりとした印象になっているのが分かります。
◆ 治療の工程
まず欠損部を丁寧に整え、接着に適した状態を作ります。
その後、周囲の歯の色に合わせて複数のレジンを使い分けながら、少しずつ形を作っていきます。
前歯の修復で重要なのは、
「ただ埋める」のではなく、隣の歯との連続性を意識することです。
歯の先端の丸み、厚み、透明感、そして光の当たり方。
細かな調整を繰り返しながら、違和感のない形を目指します。
最後に、表面を丁寧に研磨し、滑らかで自然なツヤのある仕上がりに整えて治療を終了しています。
この研磨工程により、見た目が美しくなるだけでなく、汚れが付きにくく、長期的に安定しやすくなります。
◆ ダイレクトボンディングという選択
今回のケースでは、歯を大きく削る必要がなかったため、
セラミックなどの被せ物ではなく、ダイレクトボンディングを選択しました。
ダイレクトボンディングは、
-
健康な歯をほとんど削らない
-
その日のうちに治療が完了する
-
色や形を細かく調整できる
といったメリットがあり、前歯の小さな欠損には非常に有効な治療法です。
◆ 小さな欠けこそ、早めの治療を
前歯の欠けや小さな穴は、「このくらいなら大丈夫」と放置されがちです。
しかし、時間が経つと欠損が広がったり、着色が進んだりすることもあります。
早い段階であれば、今回のように
歯をほとんど削らず、シンプルな治療で自然に修復することが可能です。
◆ THE DENTALが大切にしていること
THE DENTALでは、
見た目の美しさだけでなく、歯を長く守ることを大切にした治療を行っています。
-
必要以上に削らない
-
今ある歯を活かす
-
周囲との調和を重視する
ダイレクトボンディングは、歯を削る量をできるだけ抑えながら、見た目と機能の両立を目指せる治療です。「自分の場合は適応になるのかな?」と感じられた方も、まずはお気軽にご相談ください。











