JOURNAL
CR(コンポジットレジン)修復
皆様こんにちは、歯科助手の雛田です。
今回ご紹介するのは、
前歯の隣接面に生じた小さな欠け・形態不良に対して、
CR(コンポジットレジン)修復を行った症例です。
◆ CR(コンポジットレジン)とは?
CR(コンポジットレジン)は、前歯の小さな欠けや形態不良、すき間の調整、軽度の虫歯など、歯を大きく削らずに修復できる場合に選択される治療法です。樹脂材料を直接歯に盛り足して形を整えます。
-
削る量を最小限に抑えられる
-
1日で治療が完結することが多い
-
周囲の歯と色調を合わせやすい
といった特徴があります。
小さな欠けや形態修正においては、
歯を守りながら、自然な仕上がりを目指せる治療です。
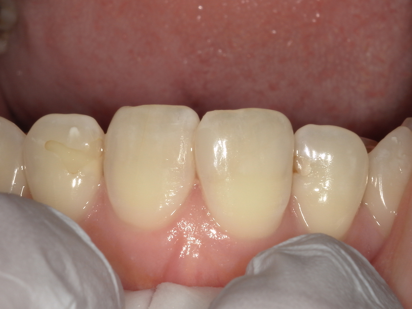
◆ 治療の途中経過(Before)
虫歯を全て取り除いた状態です。特に前歯部は、左右差や形の乱れが目立ちやすい部位です。詰め物が不適合の場合は、
-
見た目の違和感
-
食べ物が詰まりやすい
-
フロスが引っかかる
といった症状につながることがあります。
◆ 治療後の状態(After)
治療後の写真では、歯の形が自然につながり、隣接面の段差も解消されています。
色調や透明感も周囲の歯となじみ、
どこを修復したのか分かりにくい仕上がりになりました。
見た目の改善だけでなく、
-
清掃性の向上
-
食べ物が詰まりにくくなる
-
フロスがスムーズに通る
といった機能面の改善も得られています。
◆ 治療のポイント
CR治療で最も重要なのは、
「ただ埋めること」ではありません。
-
歯の形(ライン・丸み)
-
隣接面のつながり
-
光の反射やツヤ感
これらを細かく調整することで、
治療したことが分からない自然さを目指します。
特に前歯は、
角度や照明によって見え方が大きく変わるため、
細部の仕上げが非常に重要になります。
◆ 大きな治療をしなくても、印象は変わる
今回の症例は、
歯を大きく削る治療ではありません。
それでもBefore/Afterを比べると、
口元の印象がすっきりと整ったことが分かります。
前歯の治療では、
「どれだけ削ったか」ではなく、
どれだけ自然に仕上がったかが重要だと考えています。
「この程度で相談していいのかな?」
そう思われるような小さな違和感こそ、
早めに整えることで、大きな治療を避けられることも少なくありません。なにか治療で気になることがあれば、お気軽にご相談ください。











