JOURNAL
自分では見えない場所ほど、プロケアの差が出る
皆様こんにちは、歯科助手の雛田です。
「毎日歯みがきしているのに、なぜか着色や汚れが取れないなぁ」
とお悩みの方も多いのではないでしょうか。
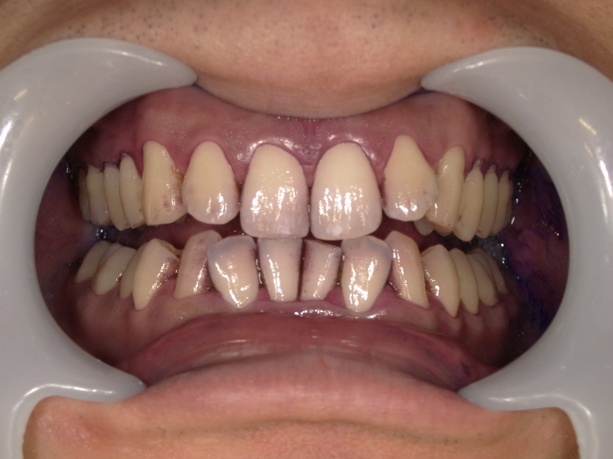
今回ご紹介するのは、定期的な歯みがきはされているものの、下顎前歯の内側(舌側)に強い着色と歯石の付着がついている方のクリーニング前後のお写真をお見せしてどれだけ綺麗になったか比較していこうと思います。
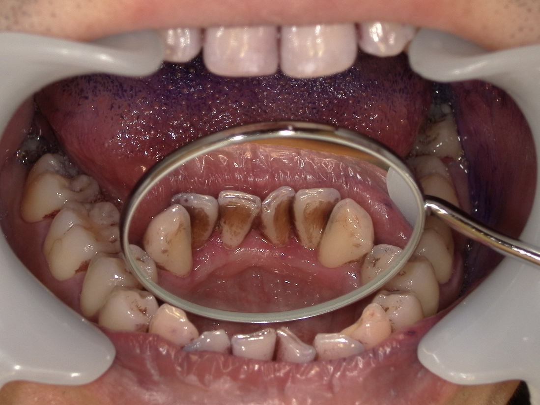
◆クリーニング前の状態(染め出し後)
当院ではクリーニングを行う前に、染め出しを行います。歯垢を染めることによって、「こんな場所にこんなにみがき残しがありますよ」と可視化することで患者様により分かりやすく見ていただくことができます。
写真をご覧いただくと分かる通り、
下の前歯の裏側には染め出し液が広範囲に付着しているのが分かります。
この部分は、
-
鏡ではほとんど見えない
-
舌が常に当たる
-
唾液腺が近く、歯石が付きやすい
という特徴があり、セルフケアだけで完全にきれいに保つのが非常に難しい部位です。
「前歯はちゃんと磨いているつもりだった」
そう感じる方ほど、実はこの見えない場所に汚れが溜まっていることがあります。
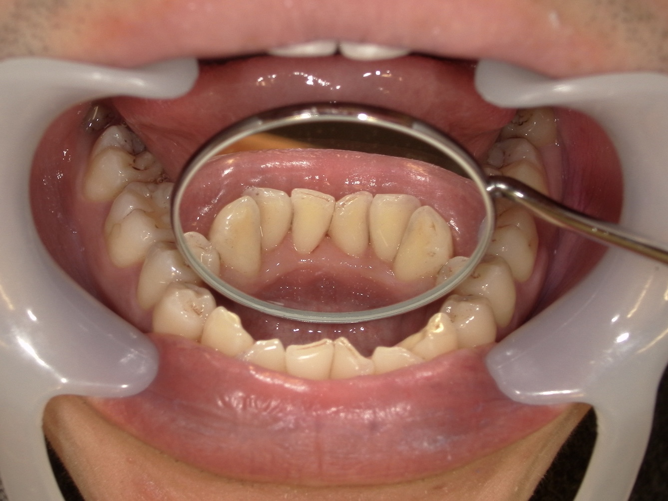
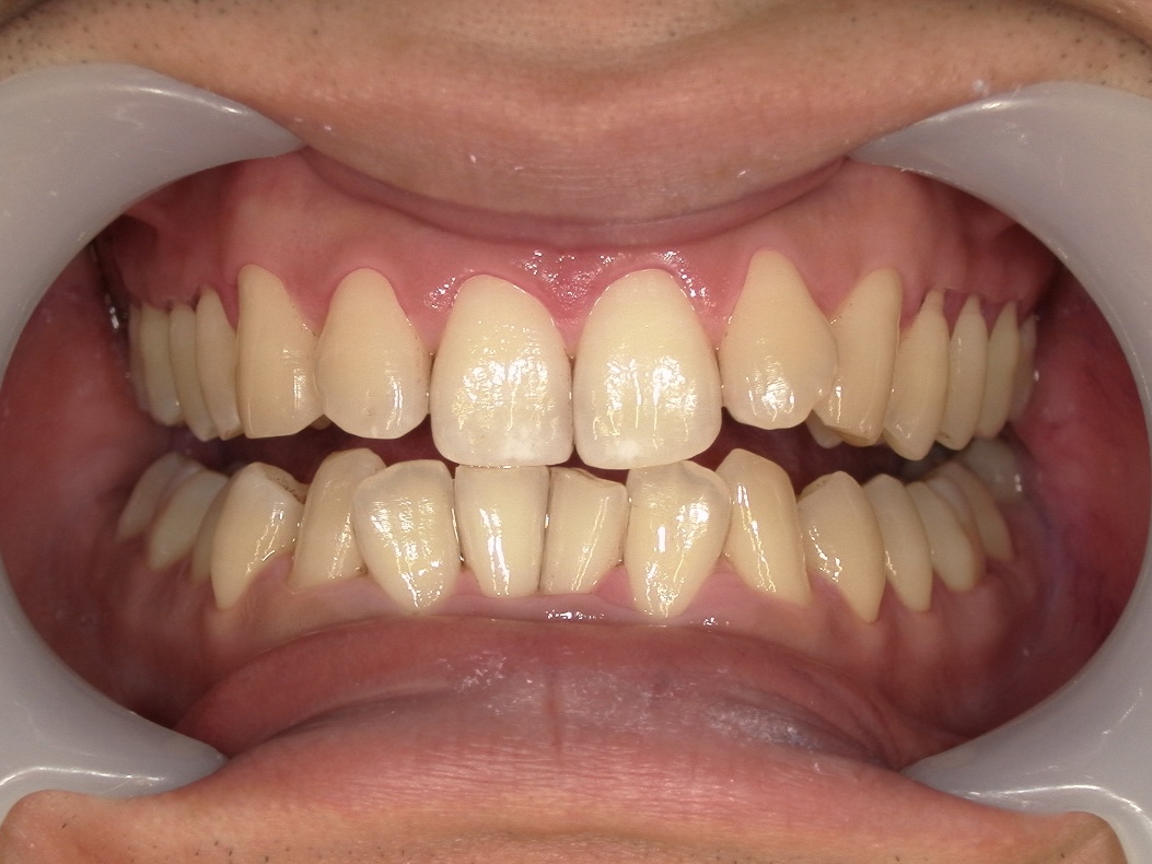
◆クリーニング後の状態
クリーニング後の写真では、歯本来の自然な色調がはっきりと確認でき歯肉の境目もすっきり清潔感が大きく向上しているのが分かります。
特別なホワイトニングを行ったわけではありません。
「汚れをきちんと落としただけ」で、これほど印象が変わります。
多くの患者さんが、
「こんなに汚れていたとは思わなかった」
「口の中が軽くなった感じがする」
と実感される瞬間でもあります。
◆なぜ定期的なクリーニングが必要なのか
歯石や着色は、虫歯、歯周病、口臭の原因になるだけでなく、見た目の清潔感にも大きく影響します。毎日の歯みがきはとても大切ですが、どうしても取り切れない汚れがあるのも事実です。
だからこそ、定期的なプロフェッショナルケアが必要になります。
「痛くなってから歯医者に行く」のではなく、
「何も起きないように通う歯科」へ。
今回の症例は、自分では見えない場所ほど、プロケアの価値が現れることを教えてくれる一例です。
THE DENTALでは、一人ひとりのお口の状態に合わせた、丁寧で質の高いクリーニングを行っています。
気になる着色や、
「ちゃんと磨けているか不安」
そんな小さなきっかけでも構いません。
ぜひ一度、プロの目でお口の中をチェックしてみてください。
当院で定期的なメインテナンスお待ちしております。











