JOURNAL
親知らず
皆さまこんにちは。
歯科助手の伊東です。
季節の変わり目になると、「今のうちに気になっている歯を診てほしい」というご相談が増えます。その中でも多いのが、親知らずについてのご質問です。
「痛くないけど抜いた方がいいですか?」
「横向きでも放っておいて大丈夫ですか?」
今回は、下顎左右の親知らずを抜歯した症例をご紹介します。
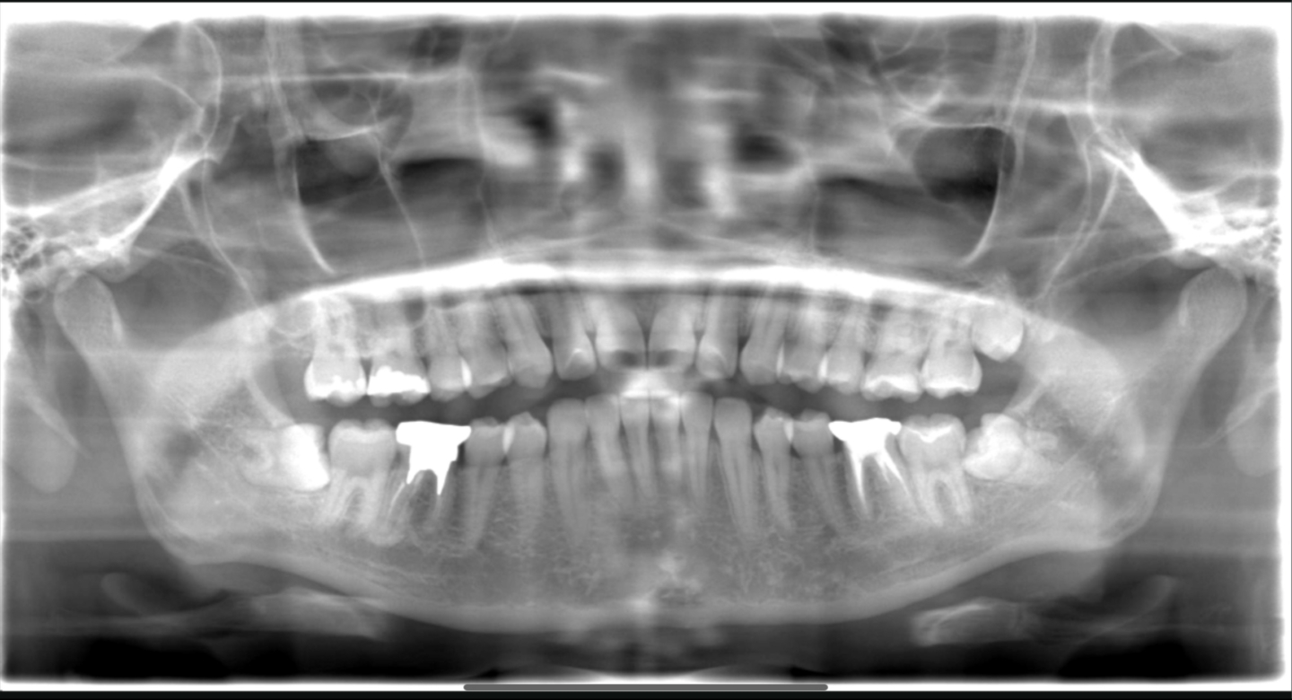
■ 初診時のパノラマ所見
初診時のパノラマレントゲンでは、下顎左右ともに水平埋伏している親知らずが確認できます。
どちらも前方の第二大臼歯に接触しており、特に歯頸部付近で強く当たっている状態でした。
このようなケースでは、
・手前の歯との間にプラークが停滞しやすい
・歯周ポケットが深くなりやすい
・隣在歯の虫歯リスクが上がる
・将来的に骨吸収を起こす可能性がある
といった問題が考えられます。
この時点では、強い自発痛や大きな腫脹はありませんでした。しかし、症状が出てからでは遅いこともあるのが親知らずの難しいところです。
■ 抜歯の判断理由
親知らずは必ずしも抜歯が必要な歯ではありません。
・まっすぐ萌出している
・清掃が十分可能
・噛み合わせに参加している
この条件を満たせば、保存も選択肢です。
しかし今回のケースでは、
✔ 両側とも水平埋伏
✔ 清掃困難
✔ 第二大臼歯への接触
✔ 将来的なリスクが高い位置関係
という所見から、左右とも抜歯を選択しました。
特に重要なのは、第二大臼歯を守ることです。
第二大臼歯は咬合の中心となる重要な歯。ここを失うと治療は大きくなります。
親知らずよりも、その手前の歯を守ることを優先しました。
■ 抜歯の実際
水平埋伏歯の抜歯では、
・歯肉切開
・骨の一部削除
・歯の分割
が必要になります。
また、下顎では下歯槽神経との距離確認が必須です。当院では事前に画像評価を行い、神経との位置関係を慎重に判断しています。
左右とも無事抜歯を終え、術後経過も良好でした。
腫脹は数日間認めましたが、感染や神経麻痺などの合併症はなく経過しました。
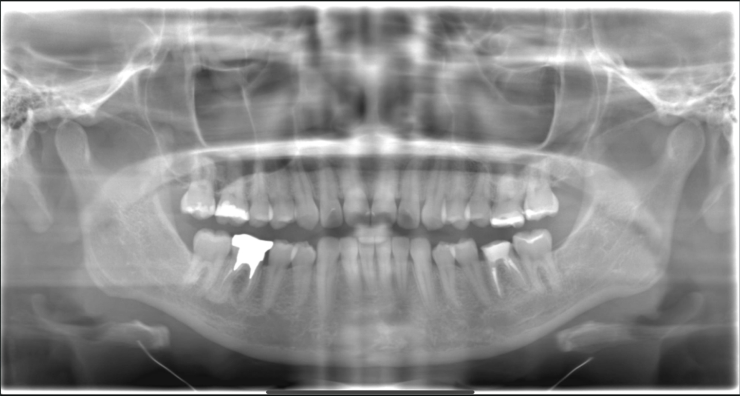
■ 2024年のパノラマ所見
2年後のパノラマでは、下顎左右とも親知らずは抜歯済みです。
抜歯部は骨で安定し、第二大臼歯周囲の環境も改善しています。
親知らずがなくなることで、
・清掃性が向上
・炎症リスクの低下
・将来的な隣在歯トラブルの回避
といったメリットが得られました。
■ 「痛くないから大丈夫」ではない
親知らずの怖いところは、症状が出にくいことです。
気づいたときには、
・第二大臼歯が虫歯
・歯根吸収
・骨吸収進行
・膿瘍形成
といった状態になっていることもあります。
今回のように、症状が出る前に判断することで、将来的なリスクを大きく減らせます。
■ 抜かない選択もある
もちろん、すべての親知らずを抜くわけではありません。
・神経に極端に近い
・症状がなく安定している
・清掃可能
このような場合は経過観察を選ぶこともあります。
重要なのは、「抜く・抜かない」の二択ではなく、診断に基づいた判断です。
■ 未来を守るために
親知らずの問題は、今だけの話ではありません。
5年後、10年後に
隣の歯が残っているかどうか。
両側抜歯という選択は、
将来の歯を守るための予防的処置でもあります。
親知らずは悪者ではありません。ただ、位置と生え方によってはトラブルの原因になります。
迷っている方は、まずはレントゲンで現状を確認してみてください。
知らないまま放置することが、最大のリスクです。
この症例は私、伊東の症例です。
右は11月に、左は2月ごろに抜いた記憶があります。
一気に抜くのはリスクが高く、また怖いのと痛みにも私は弱いので一本ずつクリアしていく!とゲームのような感覚で挑んでいました。
何かご心配ごとや、わからないことがあればお気軽にご相談ください。











