JOURNAL
見えない汚れと向き合うプロフェッショナルクリーニング
皆さまこんにちは。
THE DENTAL 歯科助手の伊東です。
少しずつ空気がやわらぎ、春の気配を感じる季節になってきました。
新生活や環境の変化が多いこの時期。実はお口の中も、生活リズムやストレスの影響を受けやすいタイミングです。
今回は、プロフェッショナルクリーニングの症例をご紹介します。
■ 一見きれい。でも、染めてみると——
【Before:染め出し後】
こちらは染め出し後のお写真です。
「染め出しって何ですか?」とよくご質問をいただきます。
染め出しとは、歯に付着しているプラーク(歯垢)を専用の染色液で赤や紫に染め、目で見えるようにする方法です。
普段、プラークは透明に近いため、肉眼ではほとんど分かりません。
しかし、実際には歯と歯の間や歯ぐきのきわ、前歯の裏側などに多く残っています。
染め出しを行うことで、
・どこに磨き残しがあるのか
・どの部位が苦手なのか
・磨き方の癖はないか
を“見える化”することができます。
今回の患者様も、日頃から丁寧にブラッシングをされていました。
それでも、染めてみるとこれだけのバイオフィルムが確認できました。
■ バイオフィルムとは?
バイオフィルムとは、細菌が集合して膜状になり、歯面に強固に付着した状態のことです。
単なる食べかすではありません。
細菌が自らを守るために作る“防御膜”のようなもの。
この中で細菌は増殖し、歯ぐきの炎症や歯周病を引き起こします。
怖いのは、初期段階ではほとんど痛みがないこと。
気づいた時には歯ぐきの奥深くまで炎症が進んでいることもあります。
■ プロのケアで「環境」を整える
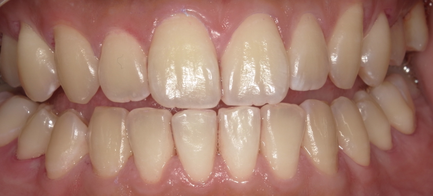
【After:クリーニング後】
クリーニング後の状態です。
歯面に付着していたバイオフィルムと着色が除去され、自然な艶が戻りました。
光の反射が均一になり、歯面もなめらかに整っています。
私たちが目指しているのは、単に“白くすること”ではありません。
・細菌の温床を取り除くこと
・炎症の原因を断ち切ること
・再付着しにくい環境を整えること
つまり、「お口の中の環境改善」です。
プロフェッショナルクリーニングでは、歯石除去・歯周ポケット内のケア・歯面研磨まで行い、お口全体をリセットします。
■ なぜ定期的なケアが必要なのか?
バイオフィルムは、24〜48時間で再形成されます。
どんなに丁寧に歯磨きをしていても、完全にゼロの状態を保つことはできません。
だからこそ、
「痛くなったら行く」ではなく
「悪くならないために通う」
という考え方が重要になります。
虫歯も歯周病も、初期はほとんど症状がありません。
しかし、進行すれば削る・抜くといった選択が必要になることもあります。
削った歯は元に戻りません。
抜いた歯も自然には生えてきません。
守れる歯は、守れるうちに。
その積み重ねが、10年後、20年後のお口の健康をつくります。
■ 染め出しは「ダメ出し」ではありません
染め出しは、できていない部分を責めるためのものではありません。
むしろ、
「ここを少し意識すれば、もっと良くなる」
というヒントを見つけるためのものです。
患者様ご自身が現状を知り、磨き方を改善するきっかけになる。
それが染め出しの大きな役割です。
見えることで、意識が変わる。
意識が変わると、未来が変わります。
■ こんな方におすすめです
・歯ぐきから出血がある
・最近クリーニングを受けていない
・口臭が気になる
・着色が気になる
・自分の磨き残しを知りたい
一つでも当てはまる方は、ぜひ一度ご相談ください。
新しい季節の始まりに、
お口の中もリセットしてみませんか?











